ホワイトニングの症例
A. ホームホワイトニング
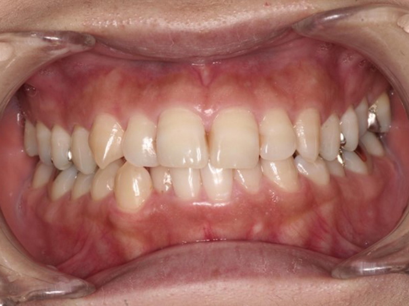
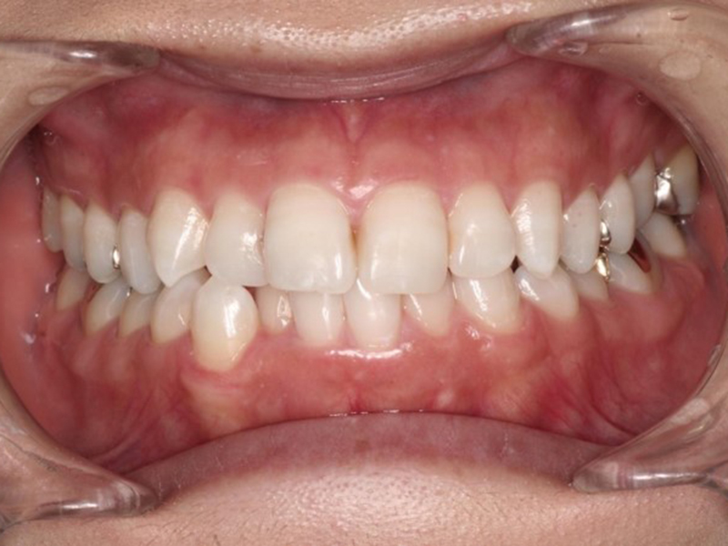
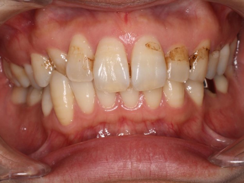
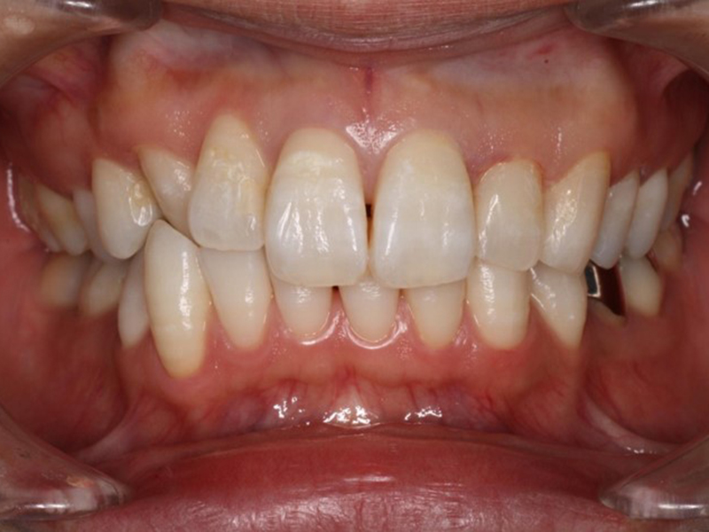
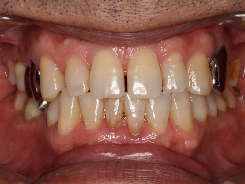
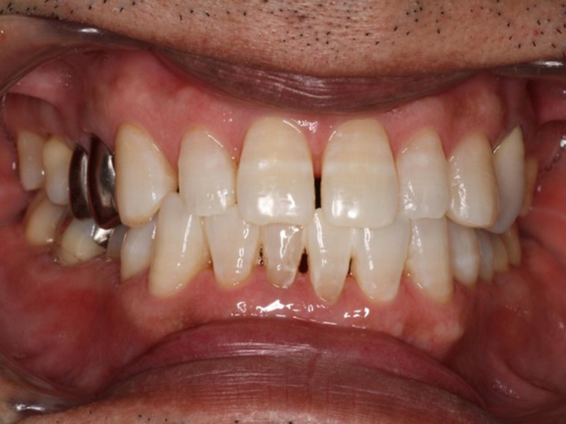
▼ ケース1
※ 画像をクリックすると拡大します。
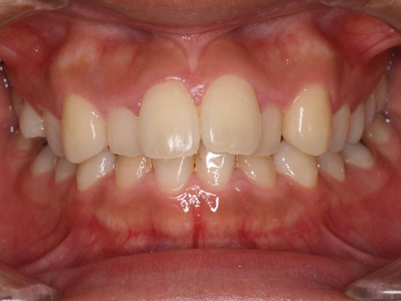
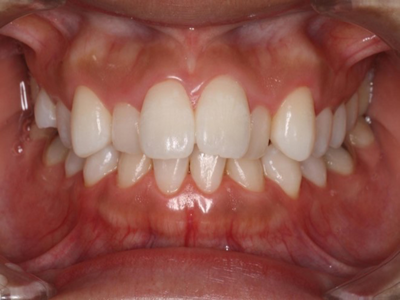
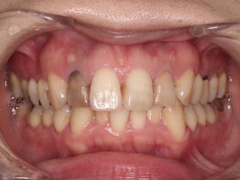
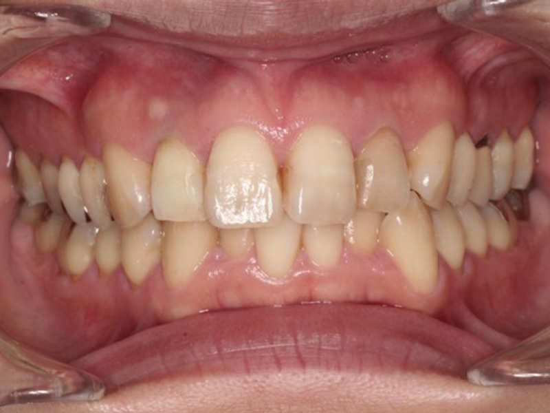
▼ ケース2
※ 画像をクリックすると拡大します。
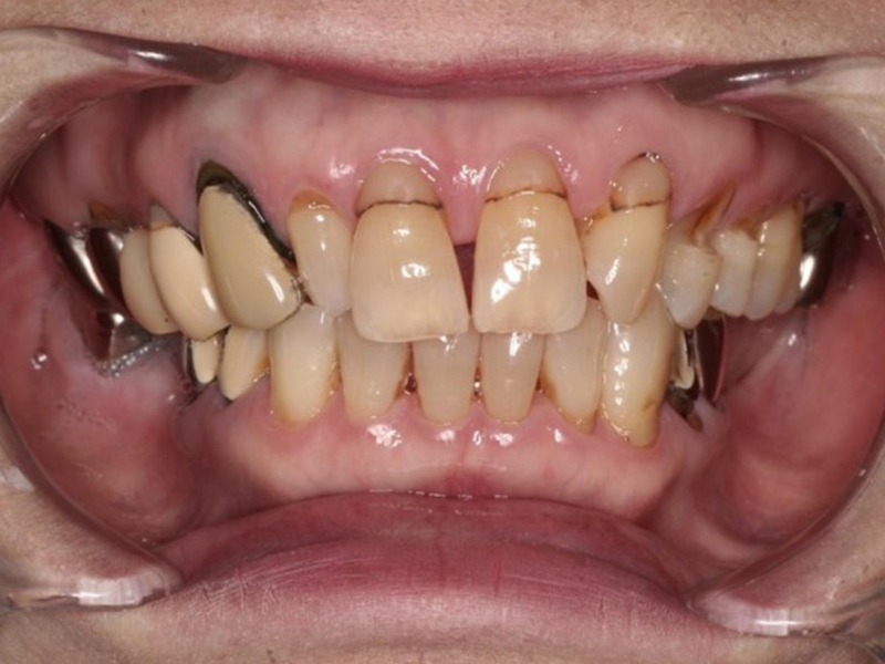
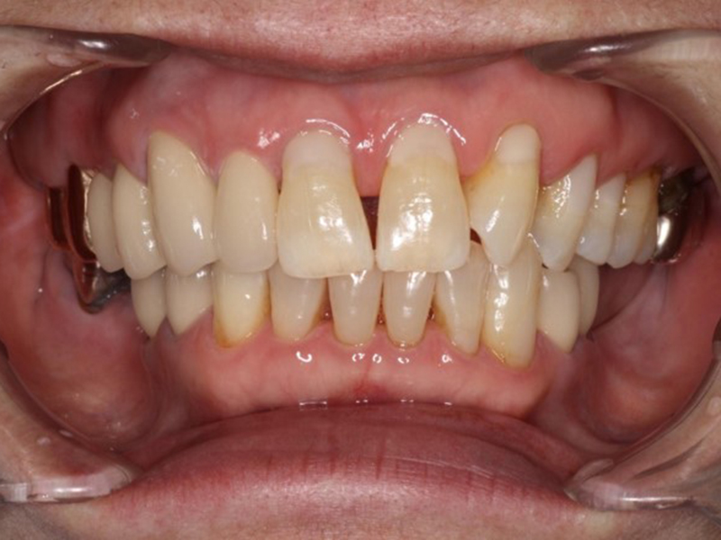
▼ ケース3
※ 画像をクリックすると拡大します。
▼ ケース4
※ 画像をクリックすると拡大します。
B. 光によるホワイトニング
※ 画像をクリックすると拡大します。
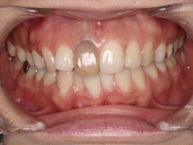
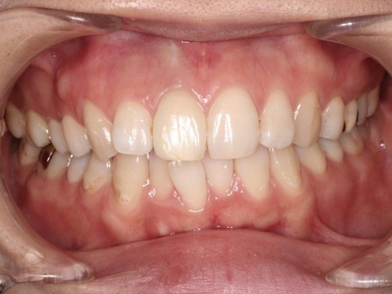
C. 漂白
▼ ケース1. 右上側切歯のみ症例
※ 画像をクリックすると拡大します。
▼ ケース2. 右上中切歯のみ症例
※ 画像をクリックすると拡大します。
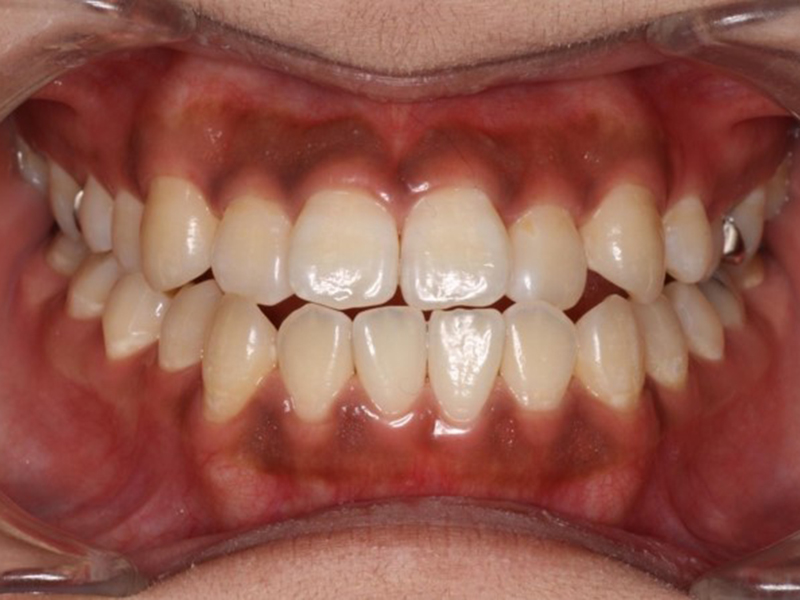
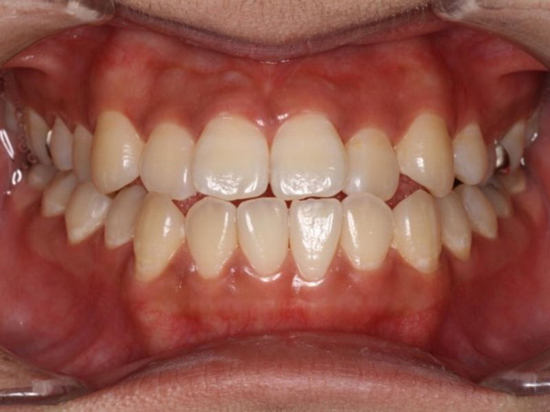
D. メラニン除去
※ 画像をクリックすると拡大します。
























