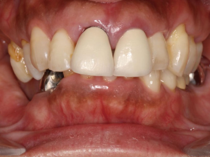
歯周病治療の症例

▼ ケース1

重度歯周病患者様の治療前、治療後ビフォー

重度歯周病患者様の治療前、治療後ビフォー

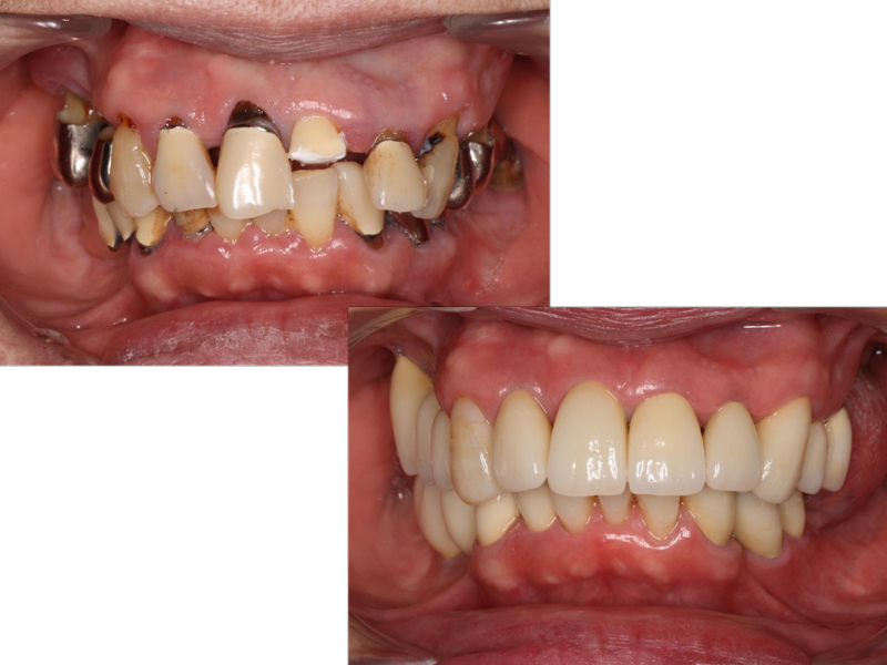
重度歯周病患者様の治療前、治療後アフター

重度歯周病患者様の治療前、治療後アフター

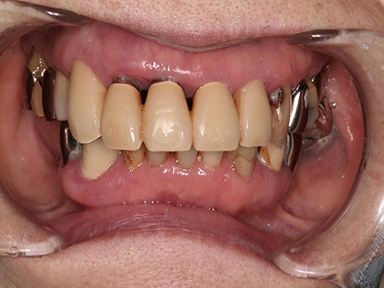
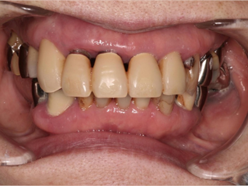
治療前の口腔内写真

治療前の口腔内写真
 

治療前の口腔内写真

治療前の口腔内写真

治療前の口腔内写真

治療前の口腔内写真

治療前の歯周病の数値

治療前の歯周病の数値

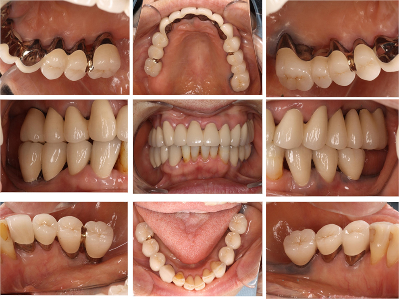
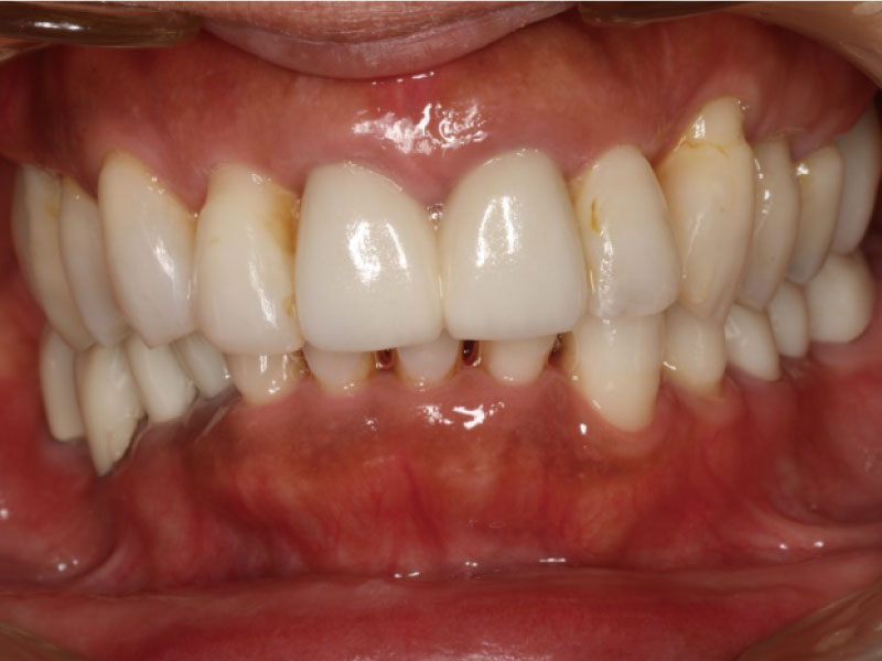
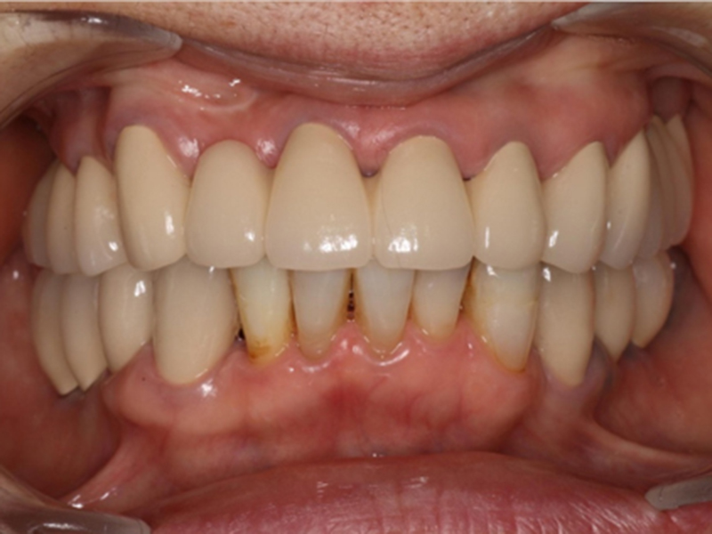
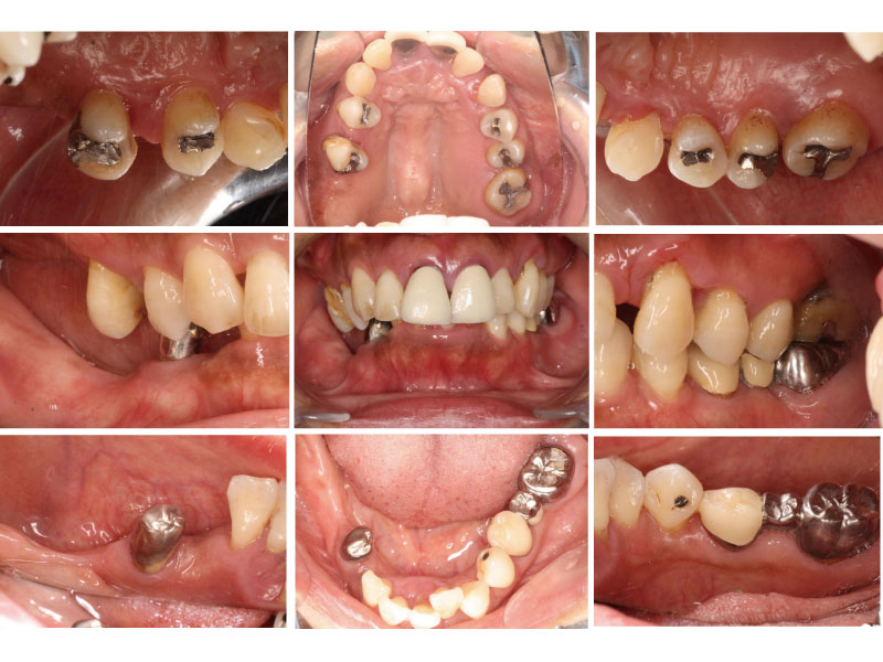
治療後の口腔内写真

治療後の口腔内写真

治療後の口腔内写真

治療後の口腔内写真

治療後の口腔内写真

治療後の口腔内写真

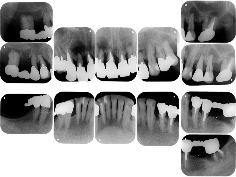
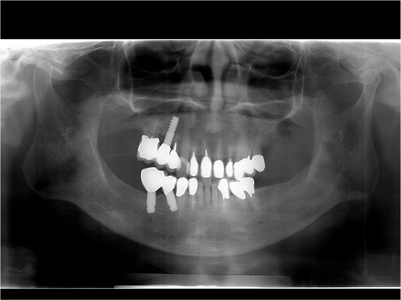
治療後のパントモ写真

治療後のパントモ写真

治療後の歯周病の数値

治療後の歯周病の数値

※ 画像をクリックすると拡大します。

▼ ケース2 - 中程度歯周病患者の治療例

H21(2009)6.20.初診<br>H23(2011).9.15.治療終了

H21(2009)6.20.初診
H23(2011).9.15.治療終了

初診時口腔内写真

初診時口腔内写真
 

 
 

 

治療終了時口腔内写真

治療終了時口腔内写真

 

 

 

※ 画像をクリックすると拡大します。

▼ ケース3

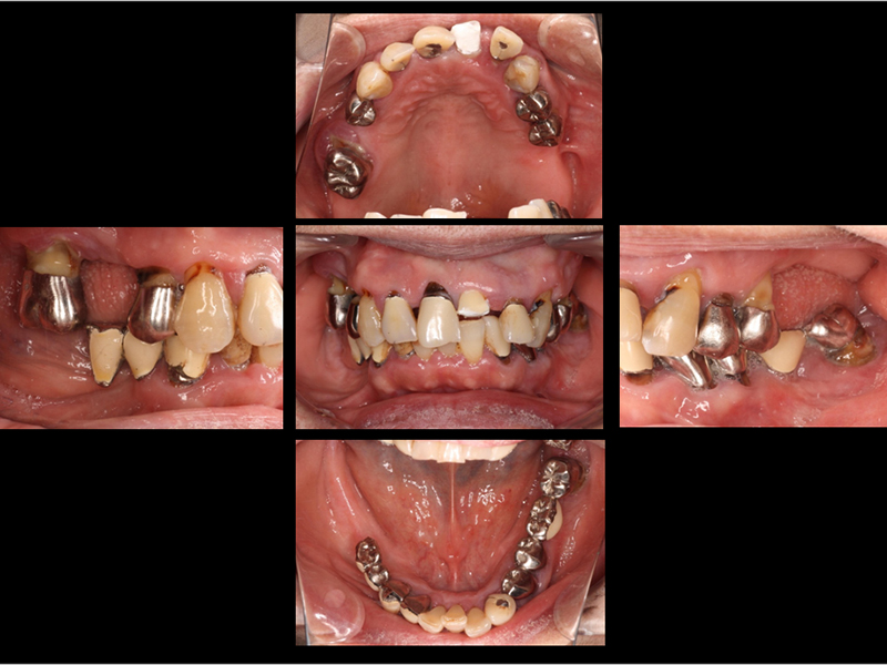
治療前口腔内写真

治療前口腔内写真

治療前口腔内写真

治療前口腔内写真

治療前X線写真

治療前X線写真

治療前の歯周病の数値

治療前の歯周病の数値

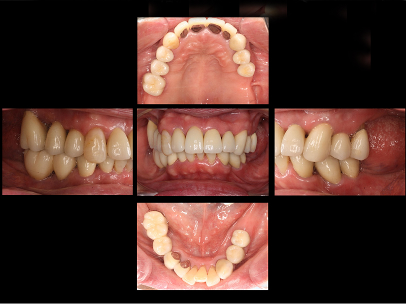
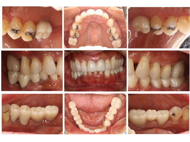
治療後口腔内写真

治療後口腔内写真

治療後口腔内写真

治療後口腔内写真

治療後X線写真

治療後X線写真

治療後の歯周病の数値

治療後の歯周病の数値

※ 画像をクリックすると拡大します。

ACCESS - 交通アクセス

丸山歯科医院
〒399-8302
安曇野市穂高北穂高2987-1
TEL0263-82-7505
FAX0263-82-7360
診療日月~土 09:00~13:00 / 月火水金 14:30~18:30
休診日日・祝休診
Google Maps / ルート案内

PAGE TOP