審美歯科の症例

▼ ケース1

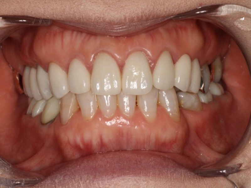
before

before

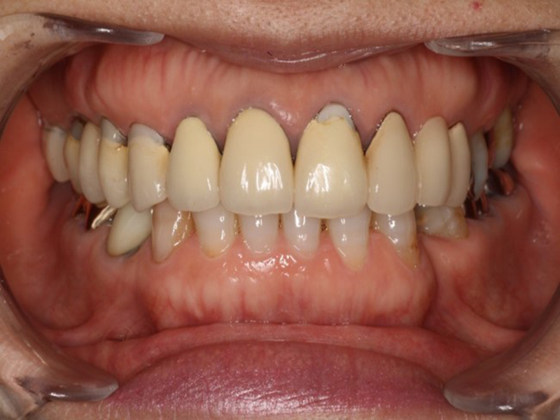
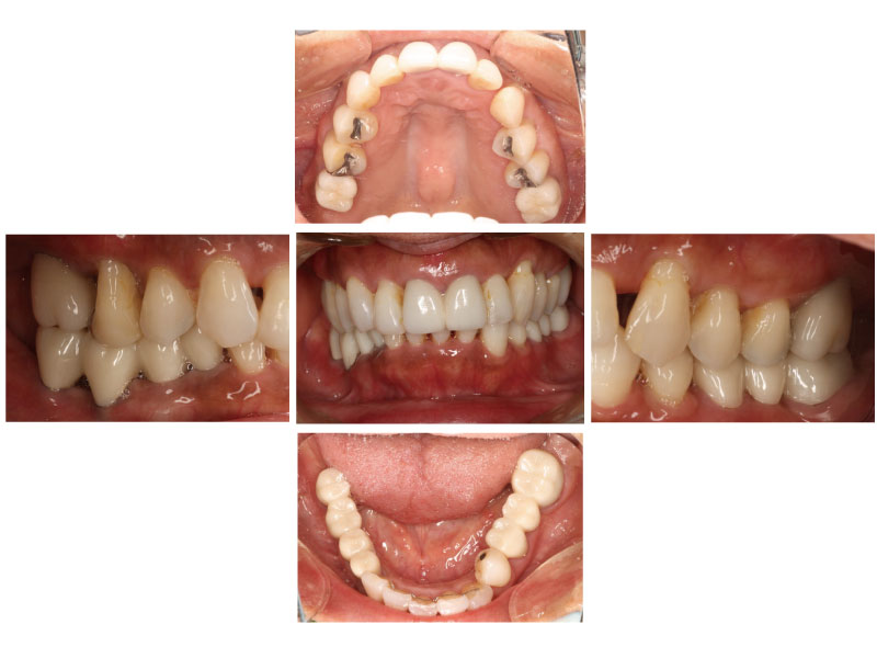
after

after

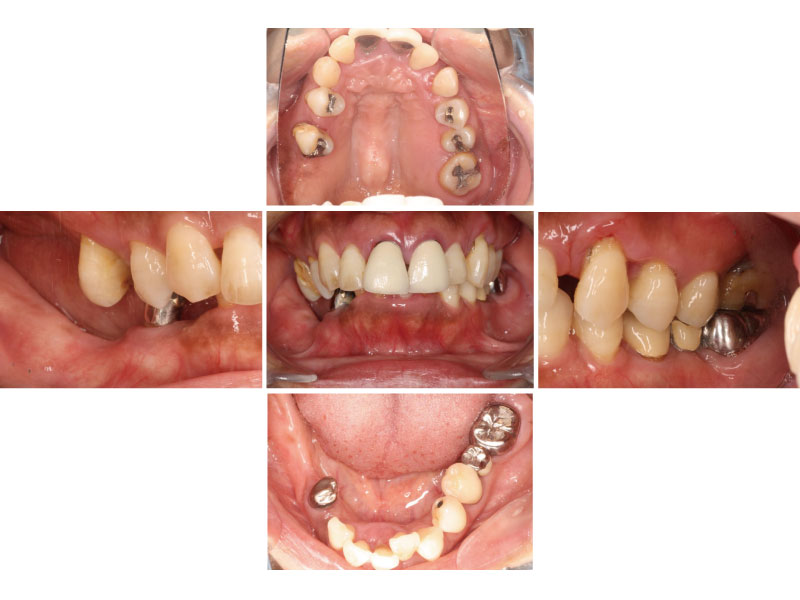
before

before

after

after

※ 画像をクリックすると拡大します。

▼ ケース2

ホワイトニング終了後、<br>前歯部ジルコボンド<br>臼歯部e-maxによる修復ケース

ホワイトニング終了後、
前歯部ジルコボンド
臼歯部e-maxによる修復ケース

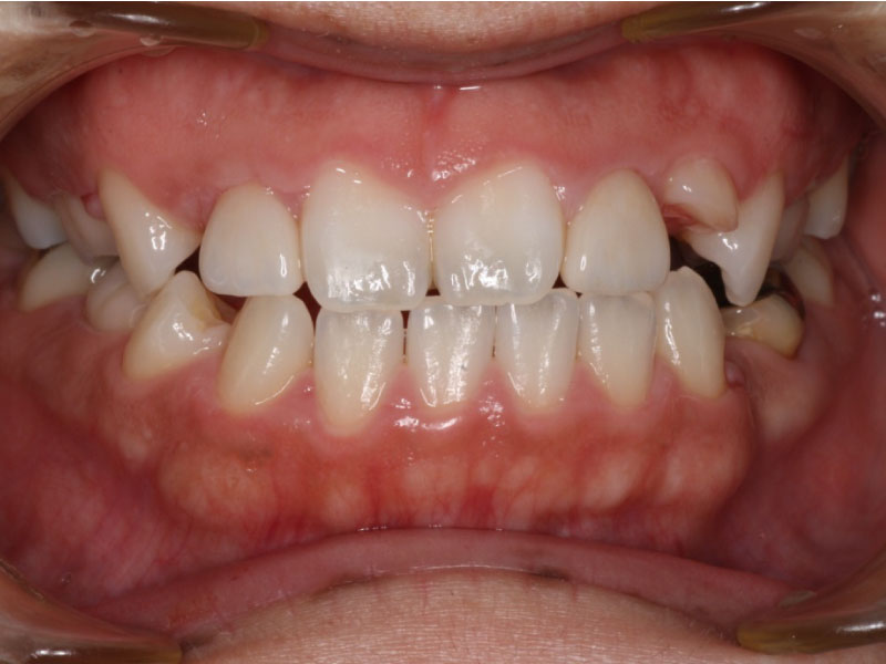
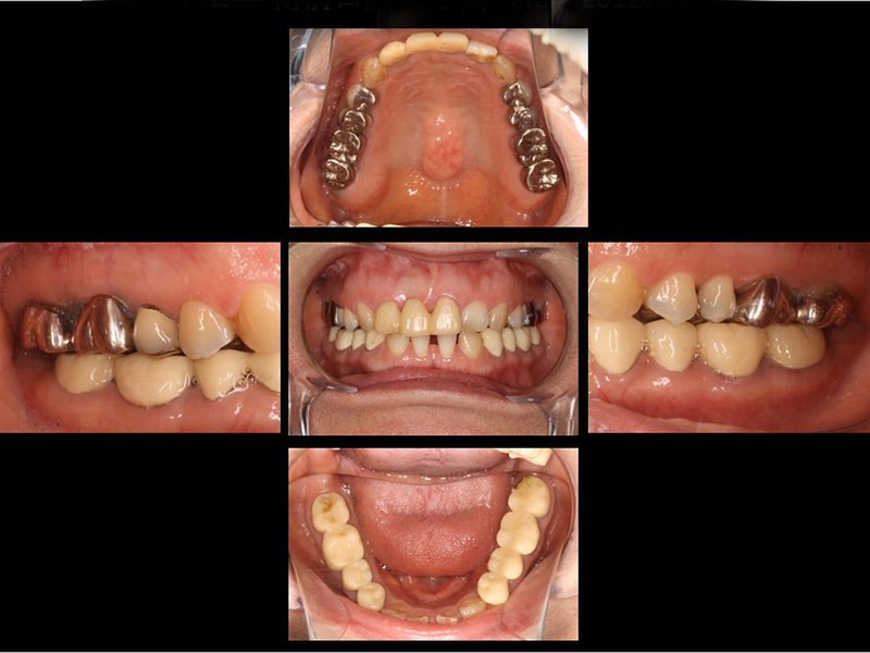
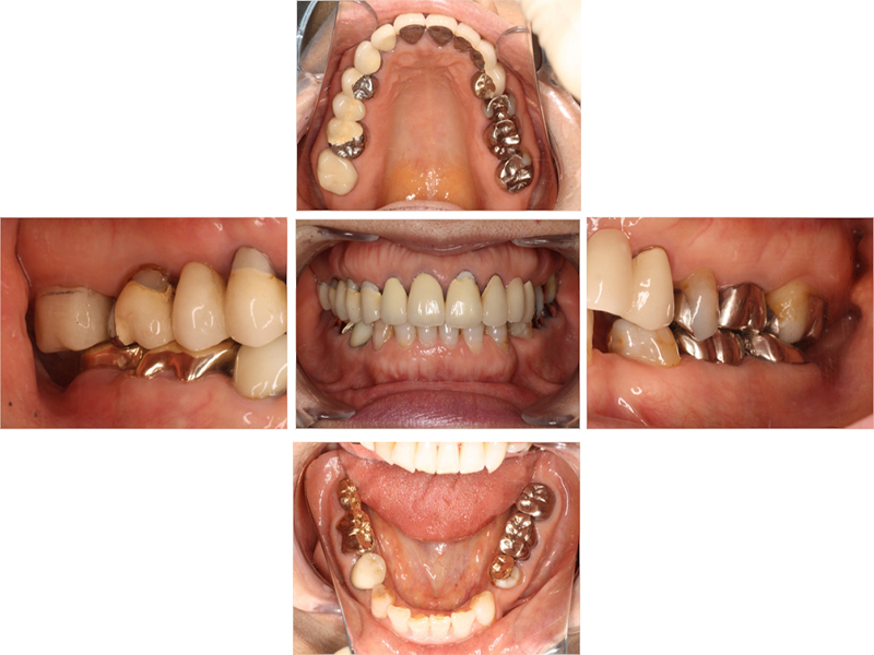
術前口腔内写真 H24(2012)9月

術前口腔内写真
H24(2012)9月
 

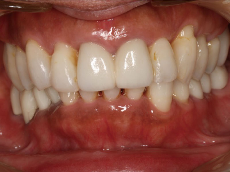
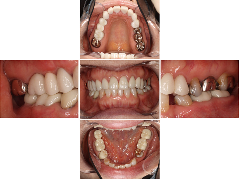
H26(2014)5月 臼歯部e-max前歯部ジルコボンドによる修復

H26(2014)5月
臼歯部e-max前歯部ジルコボンドによる修復

※ 画像をクリックすると拡大します。

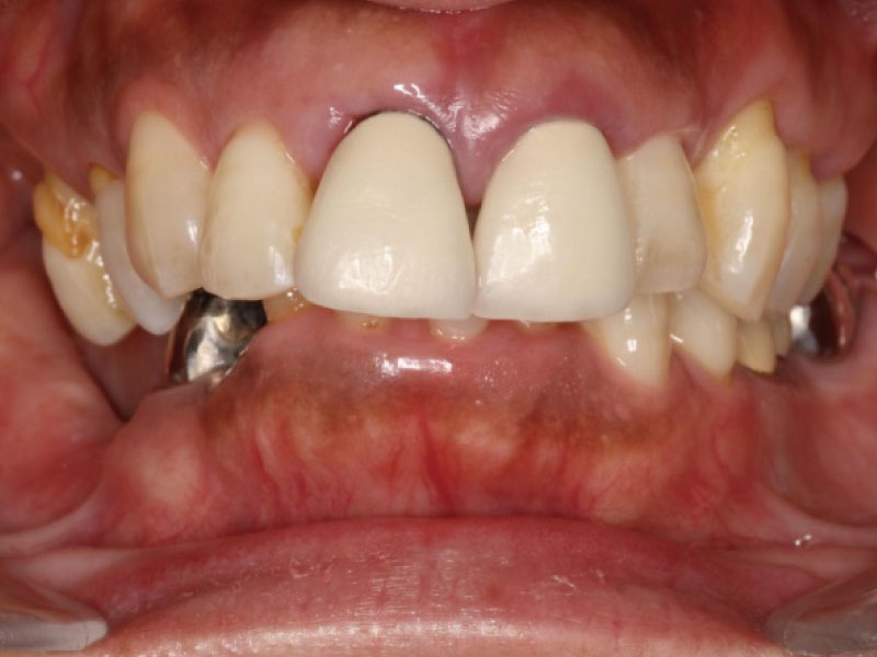
▼ ケース3

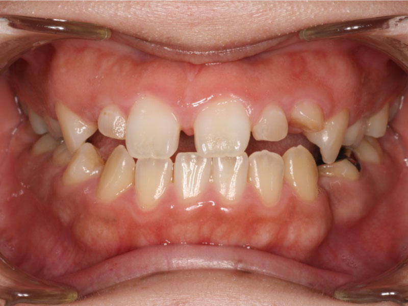
before

before

after

after

before

before

after

after

※ 画像をクリックすると拡大します。

▼ ケース4 矯正終了→ホワイトニング→オールセラミックスによる修復

before

before

after

after

※ 画像をクリックすると拡大します。

ACCESS - 交通アクセス

丸山歯科医院
〒399-8302
安曇野市穂高北穂高2987-1
TEL0263-82-7505
FAX0263-82-7360
診療日月~土 09:00~13:00 / 月火水金 14:30~18:30
休診日日・祝休診
Google Maps / ルート案内

PAGE TOP