矯正歯科の症例
A. 矯正専門医による症例
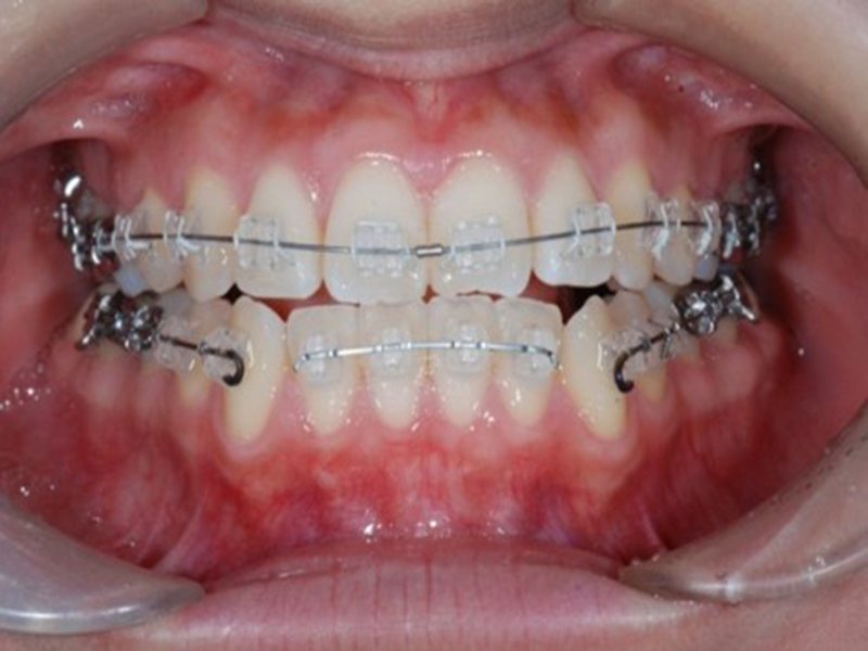
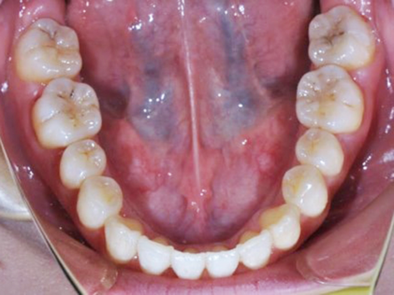
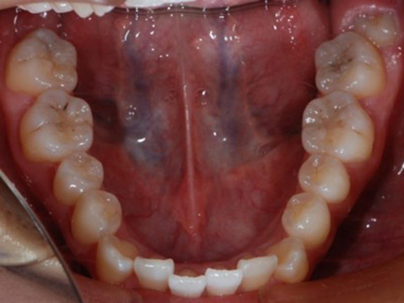
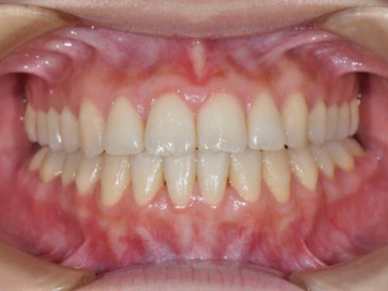
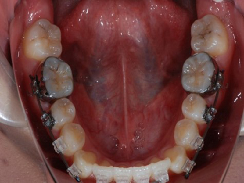
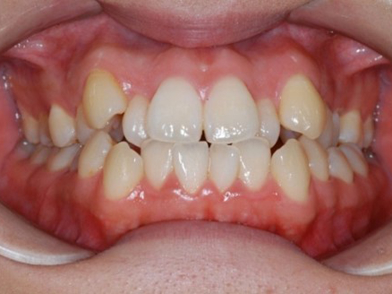
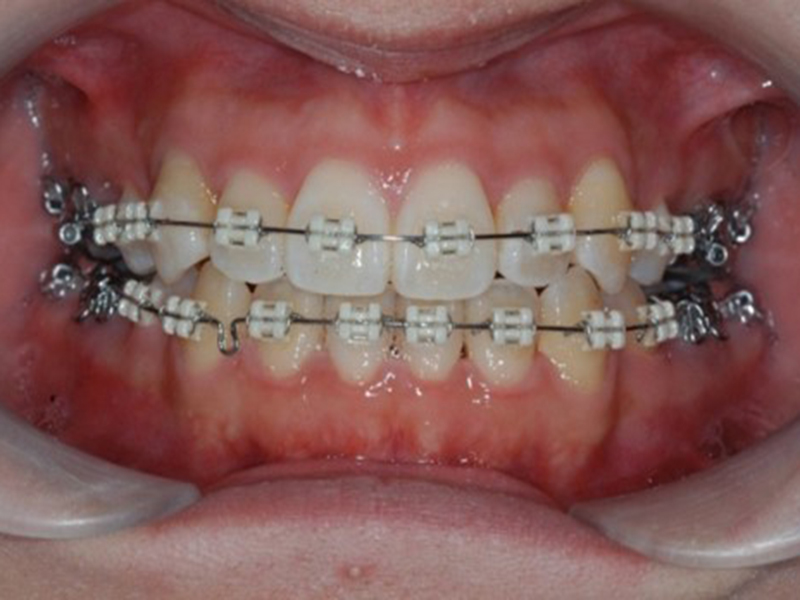
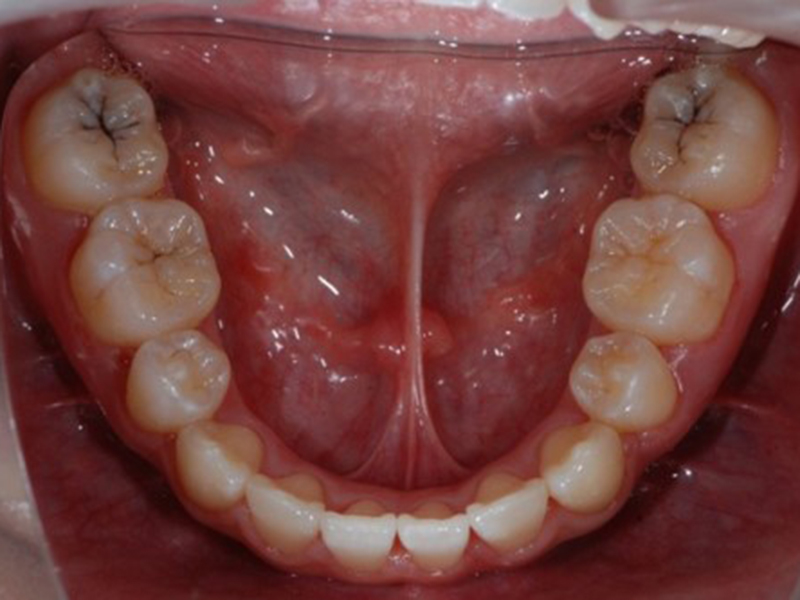
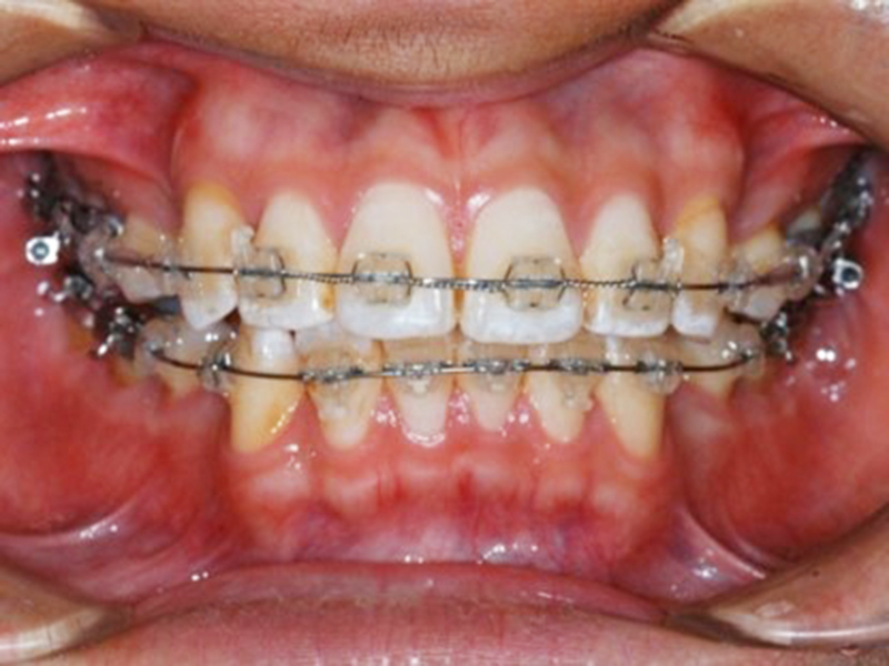
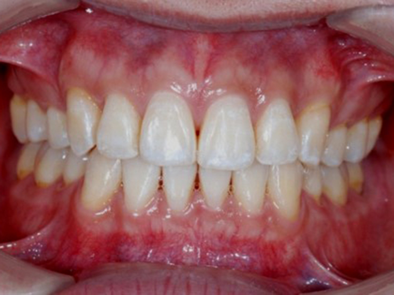
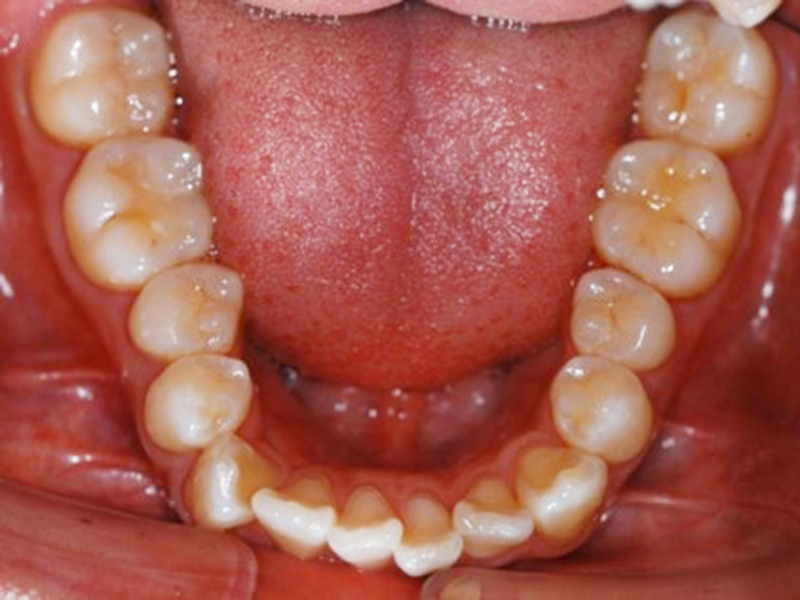
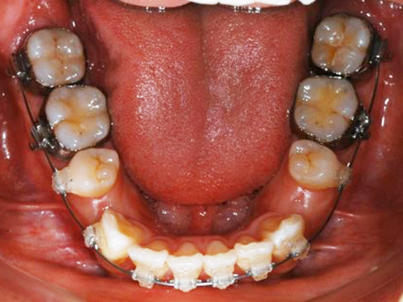
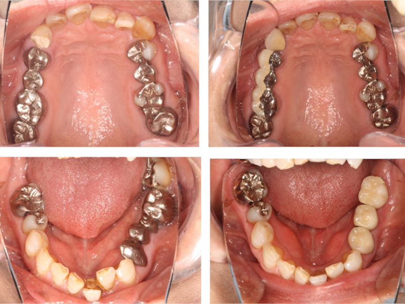
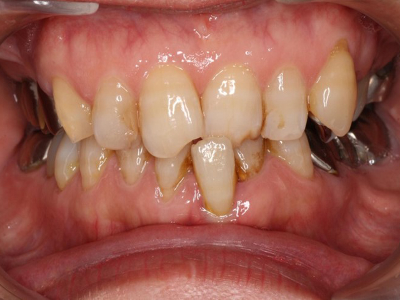
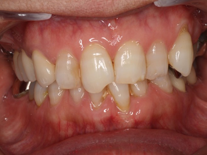
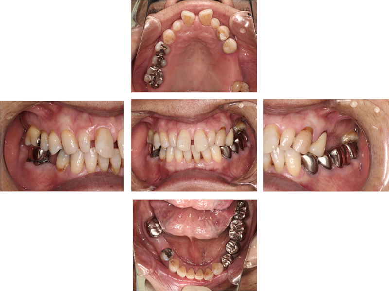
▼ ケース1

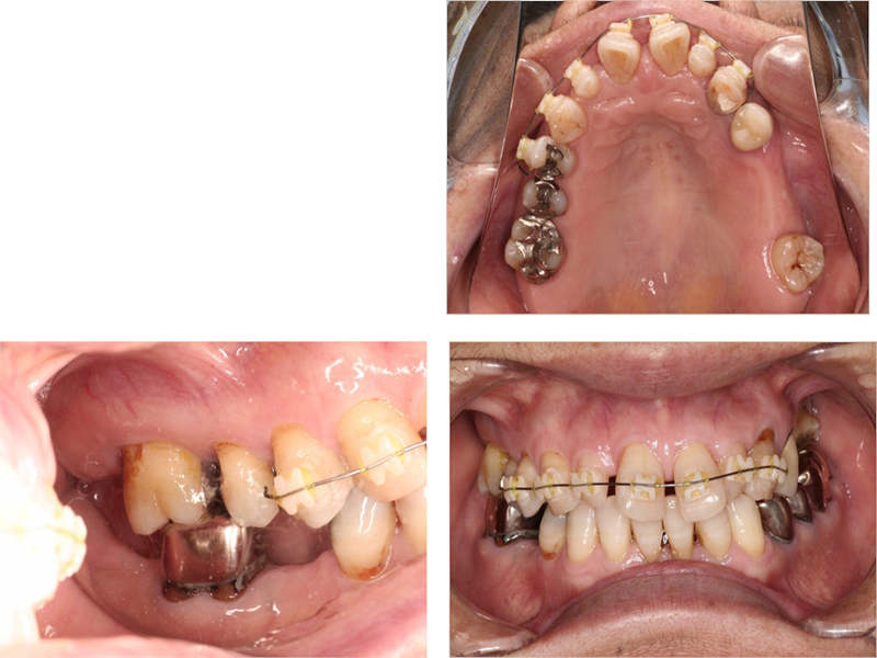
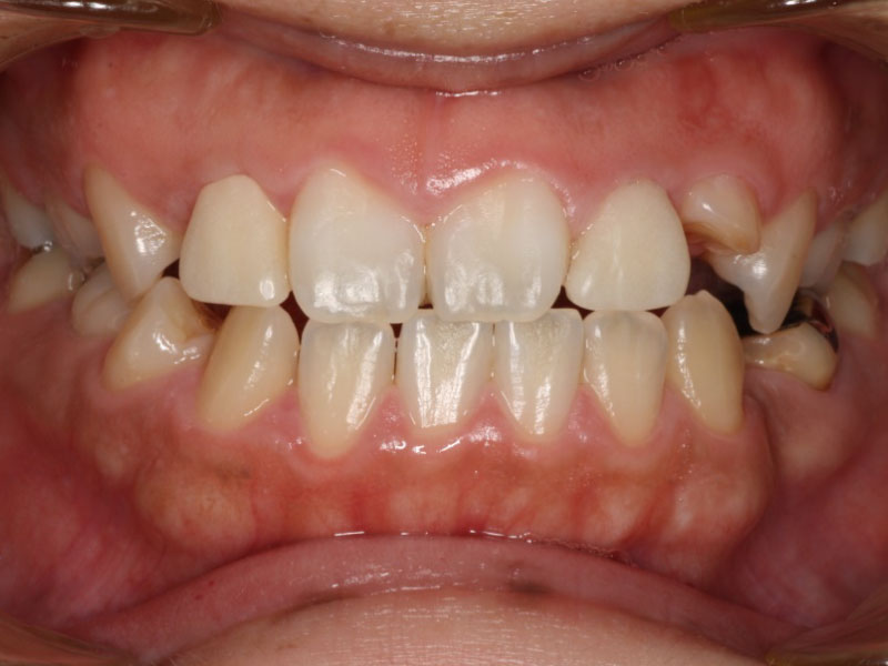
before

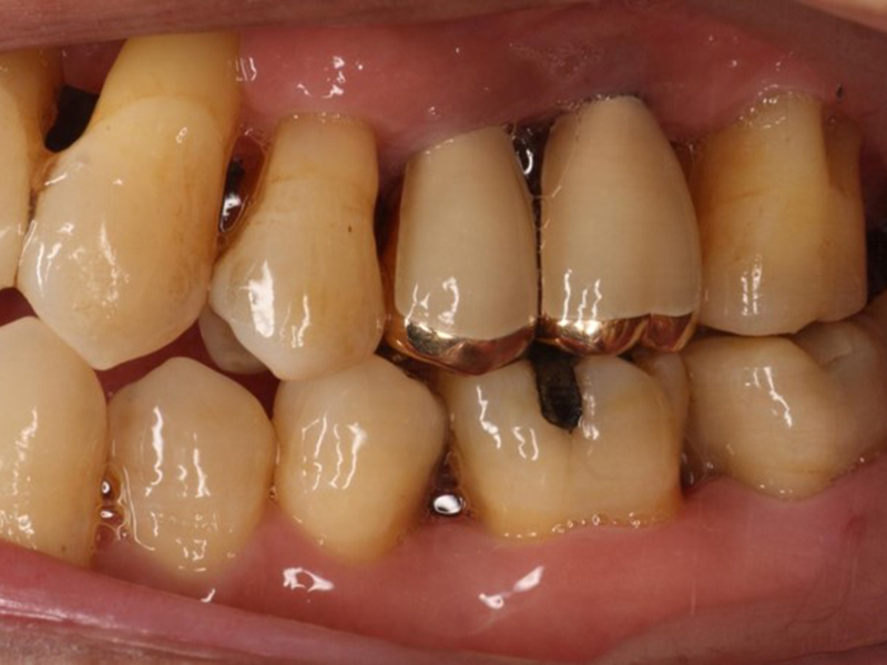
経過

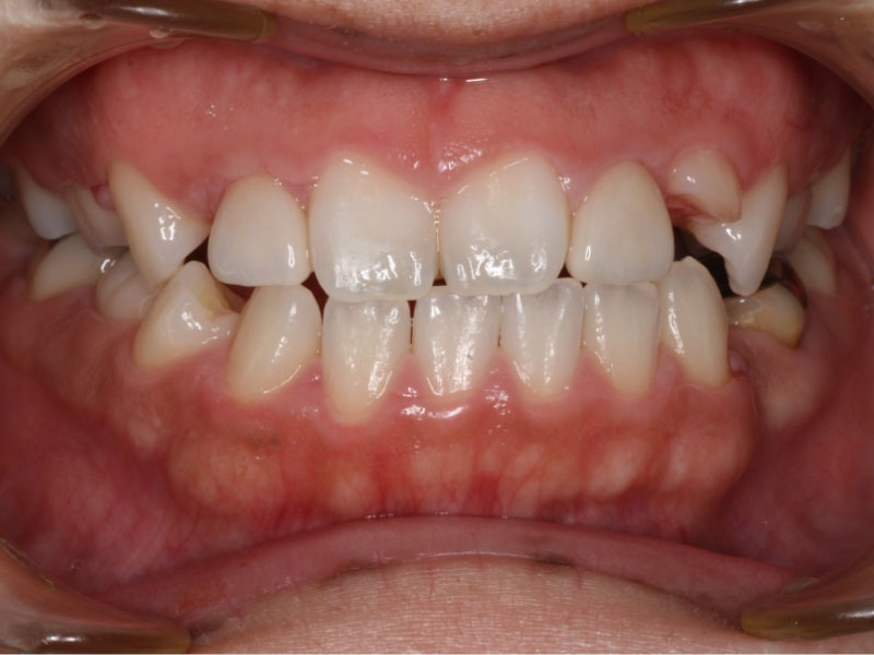
after

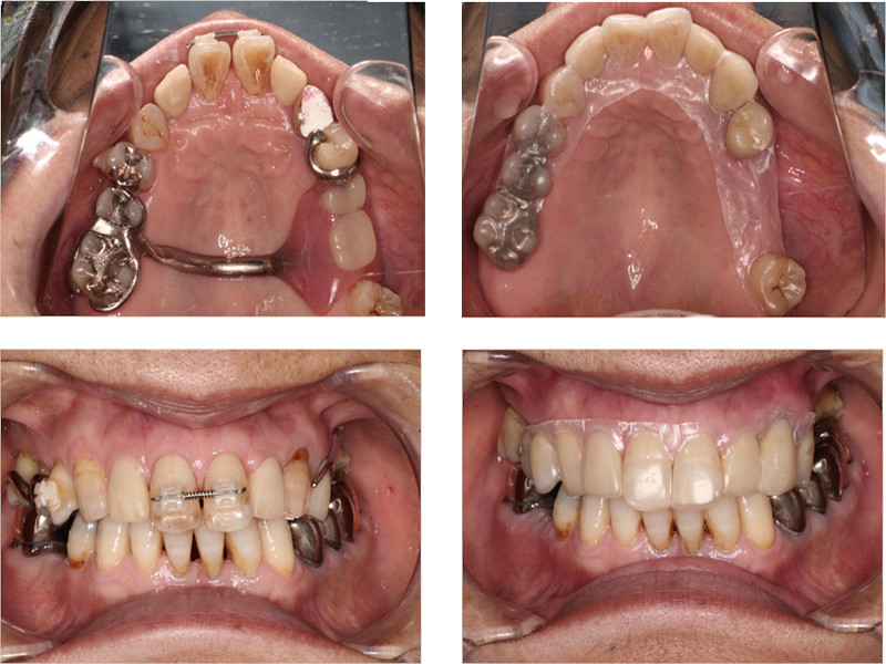
before

経過

after
※ 画像をクリックすると拡大します。
▼ ケース2

before

経過

after

before

経過

after
※ 画像をクリックすると拡大します。
▼ ケース3

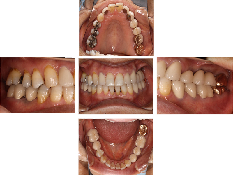
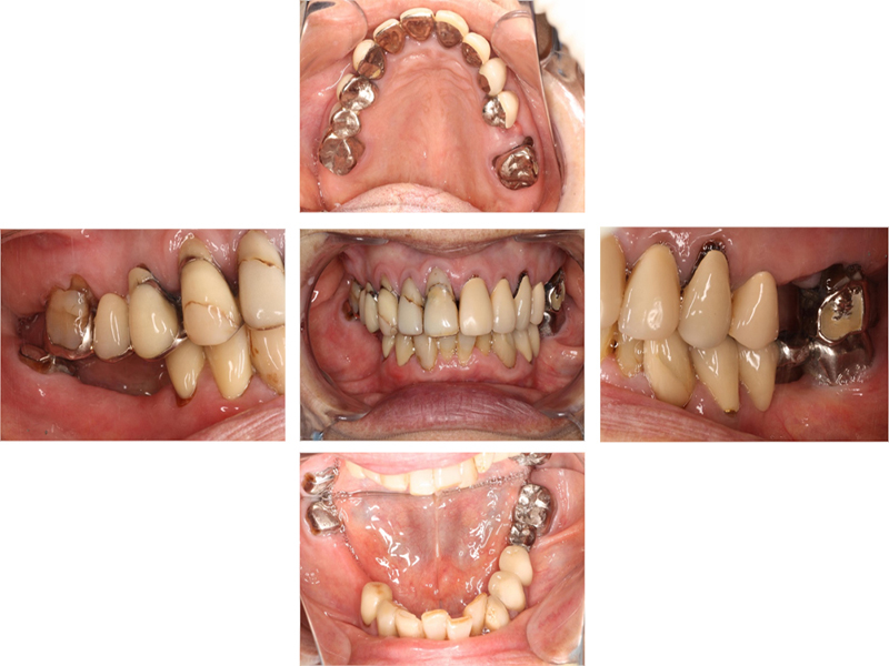
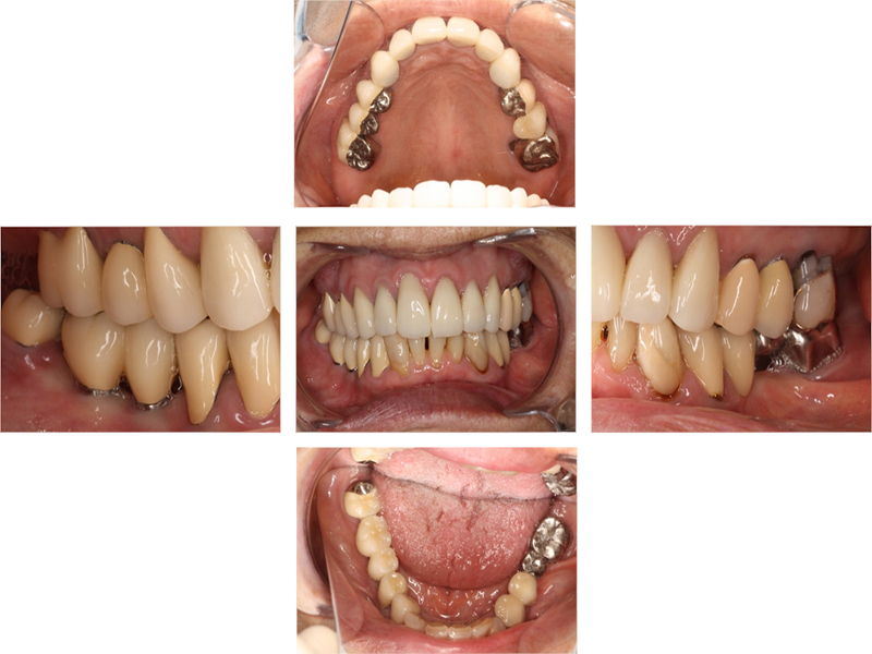
before

経過

after

before

経過

after
※ 画像をクリックすると拡大します。
B. 院長による小矯正症例
▼ ケース1.矯正装置の使用なし症例

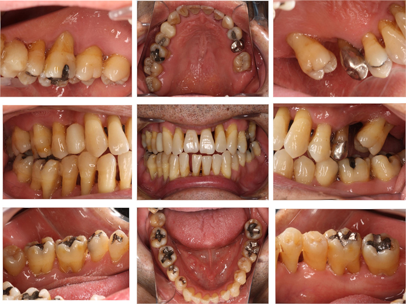
初診時

初診時

初診時

初診時

初診時

初診時

初診時

初診時

初診時

初診時

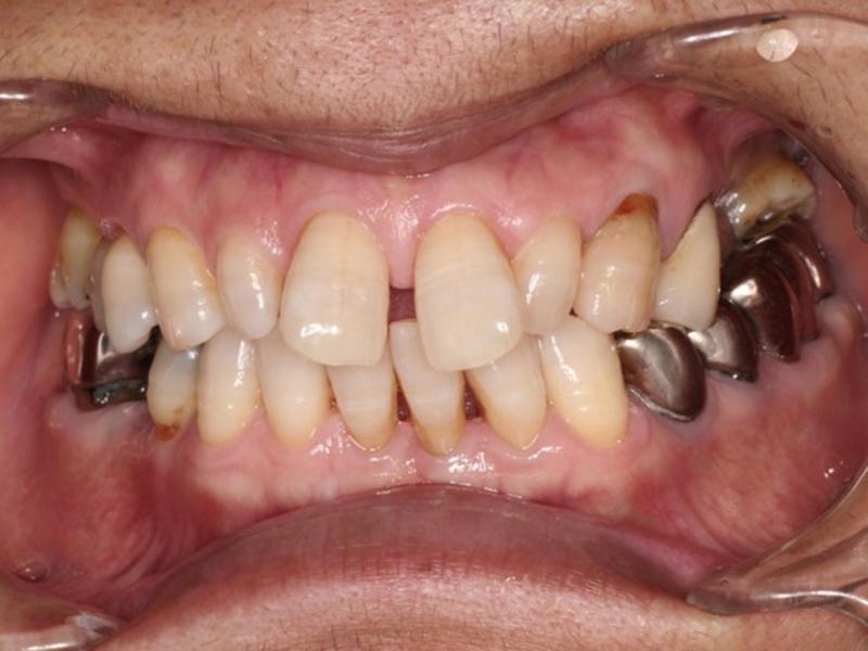
before

after
※ 画像をクリックすると拡大します。
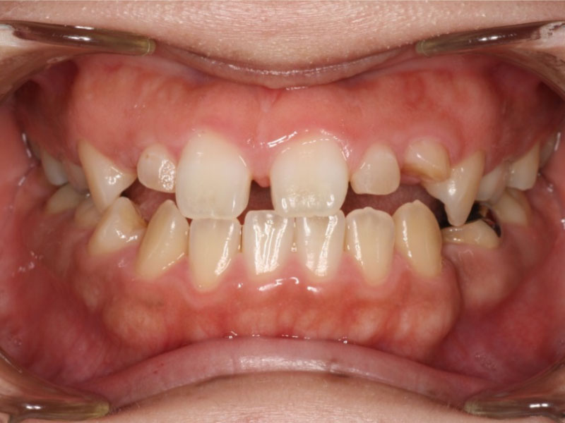
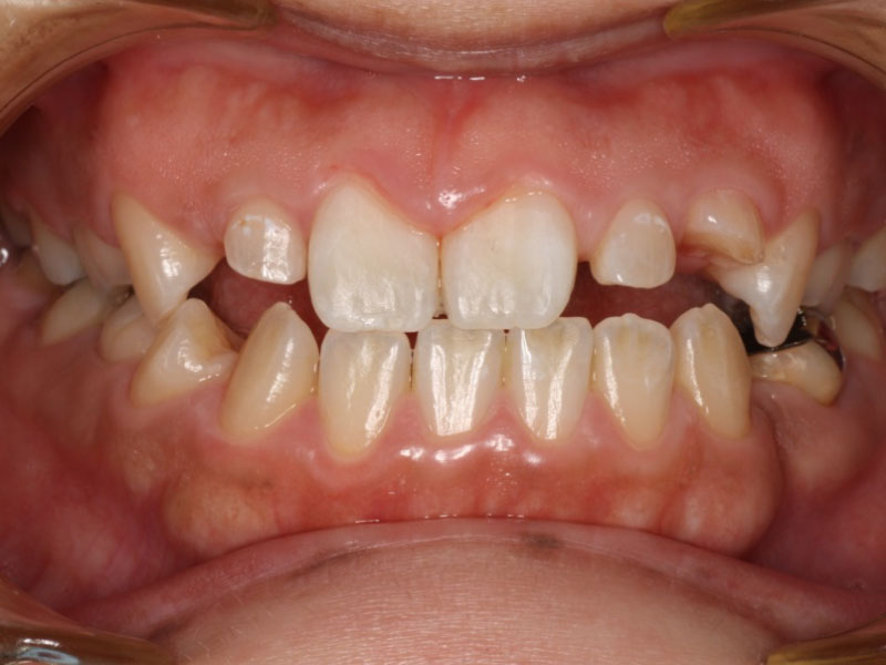
▼ ケース2.上顎前歯部空隙症例

初診、矯正前

初診、矯正前

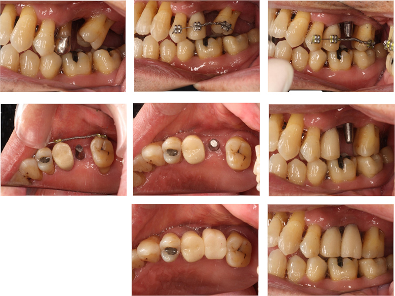
矯正開始

矯正開始

矯正終了

治療終了 メンテナンスへ

治療終了 メンテナンスへ

before

after
※ 画像をクリックすると拡大します。
▼ ケース3.Upright症例

治療前

治療前

矯正開始~矯正終了

矯正開始~矯正終了ビフォー

矯正開始~矯正終了アフター

治療終了時

治療終了時

before

after
※ 画像をクリックすると拡大します。
▼ ケース4.Upright症例

初診

初診

初診

治療中

治療中

before

after
※ 画像をクリックすると拡大します。
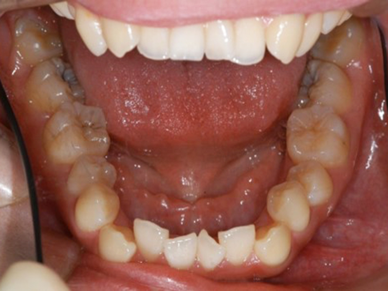
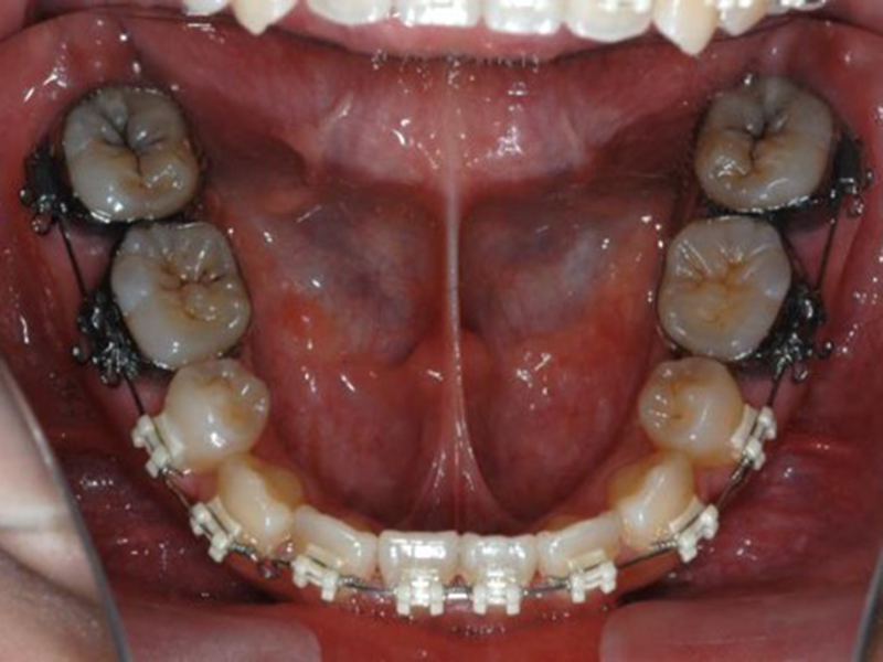
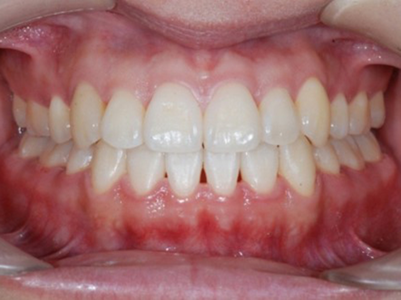
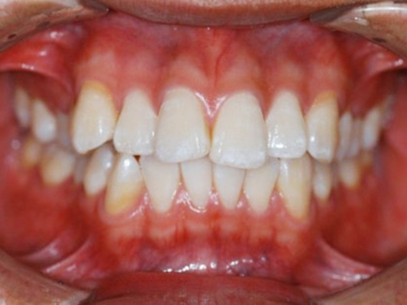
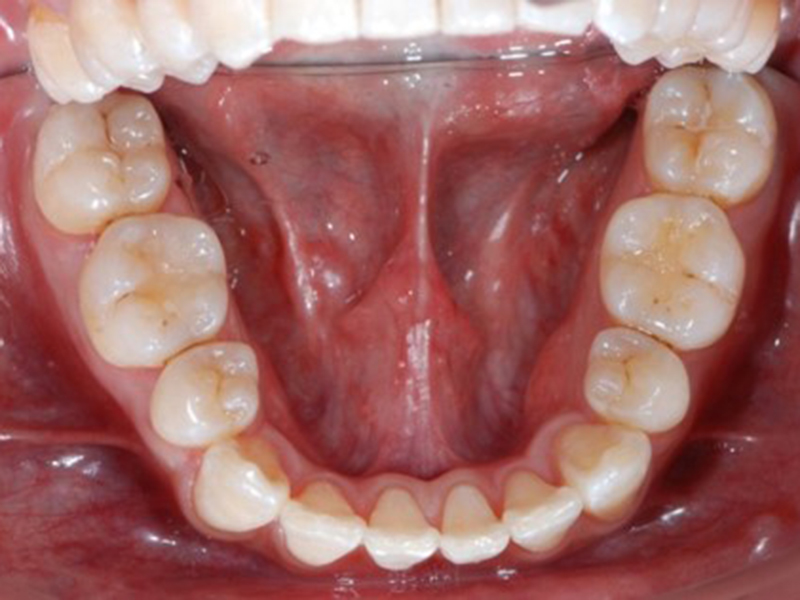
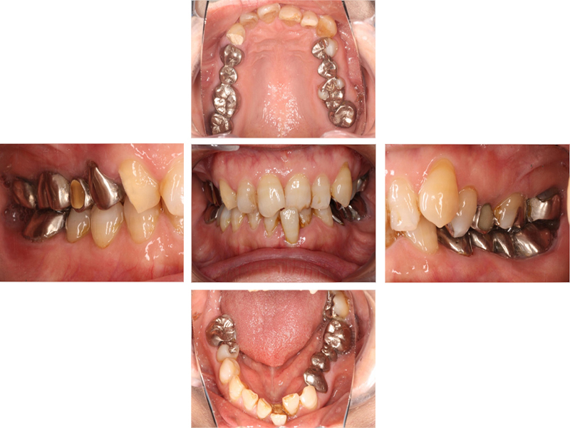
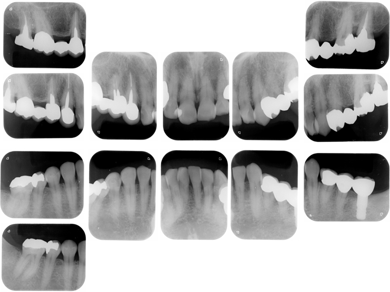
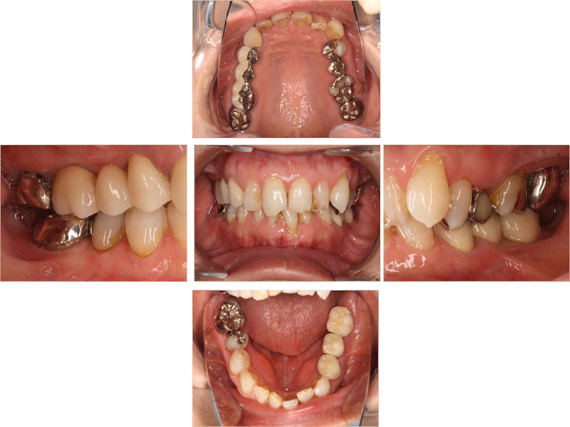
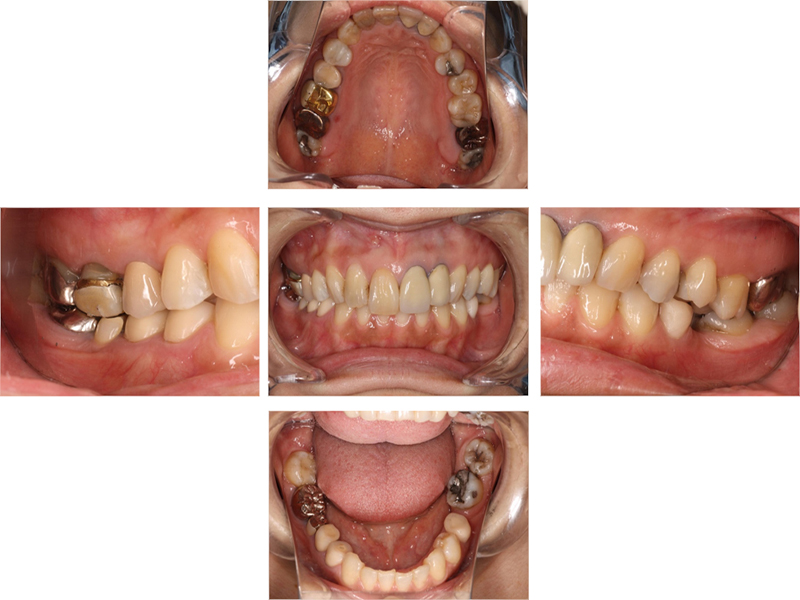
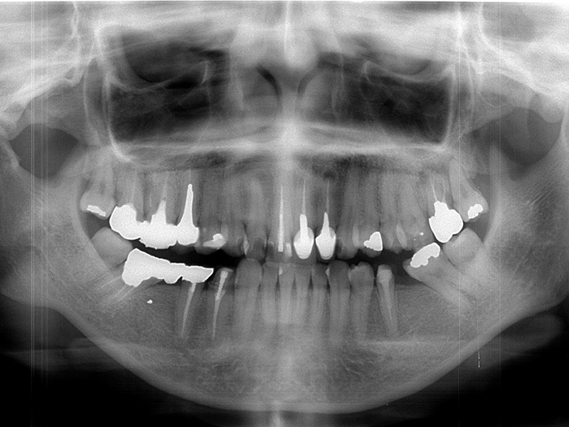
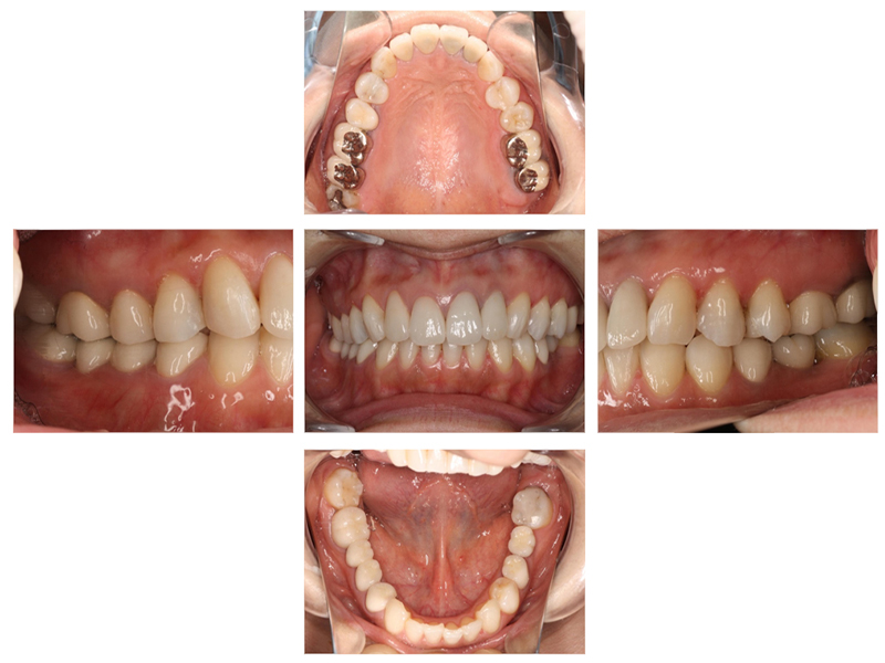
▼ ケース5 下顎前歯部叢生症例

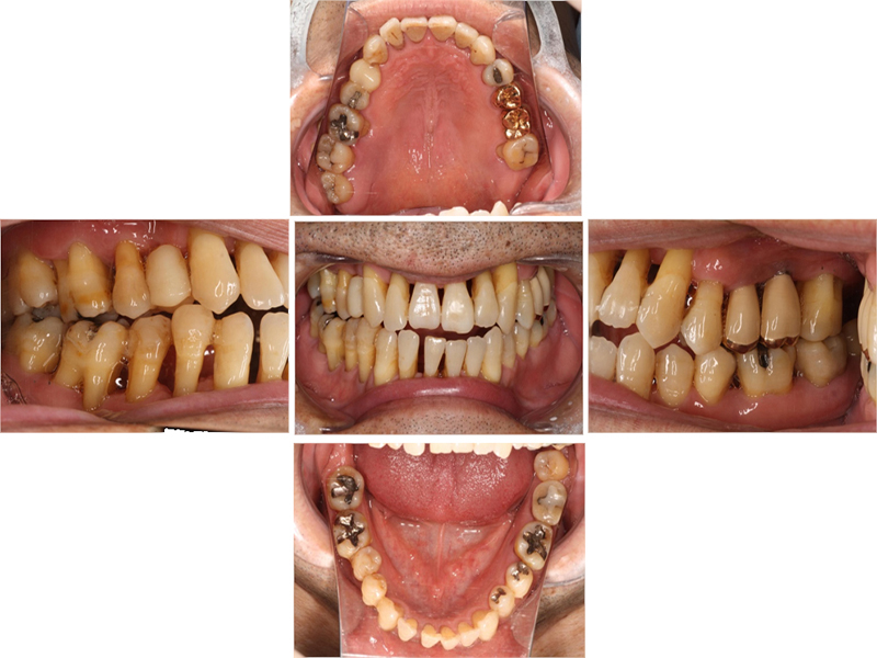
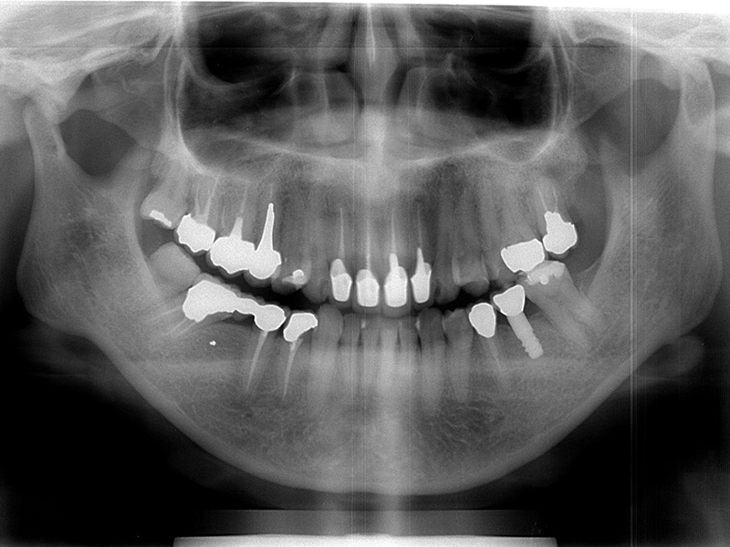
初診時口腔内写真

初診時X線写真

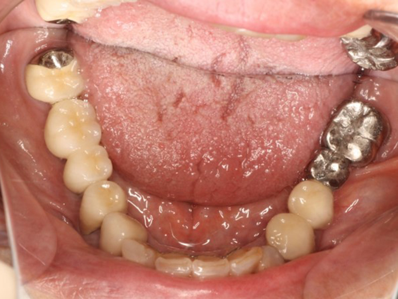
治療終了時

治療終了時

before

after
※ 画像をクリックすると拡大します。
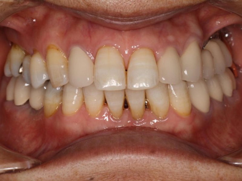
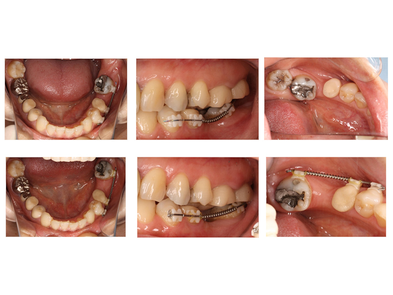
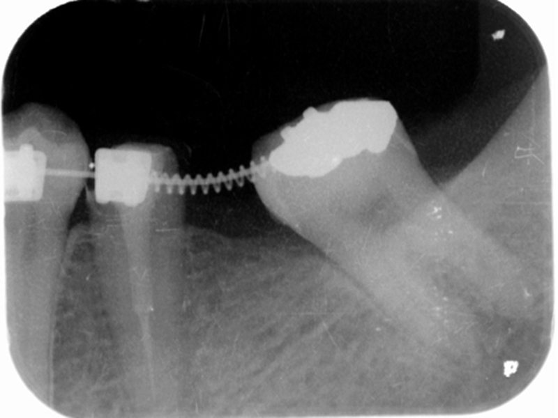
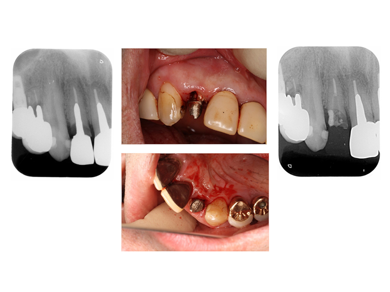
▼ ケース6.矯正的挺出

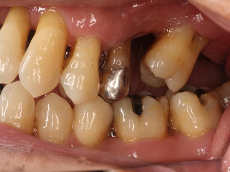
矯正開始前

矯正開始

矯正終了

補綴終了

矯正開始前、矯正終了時、補綴終了
※ 画像をクリックすると拡大します。
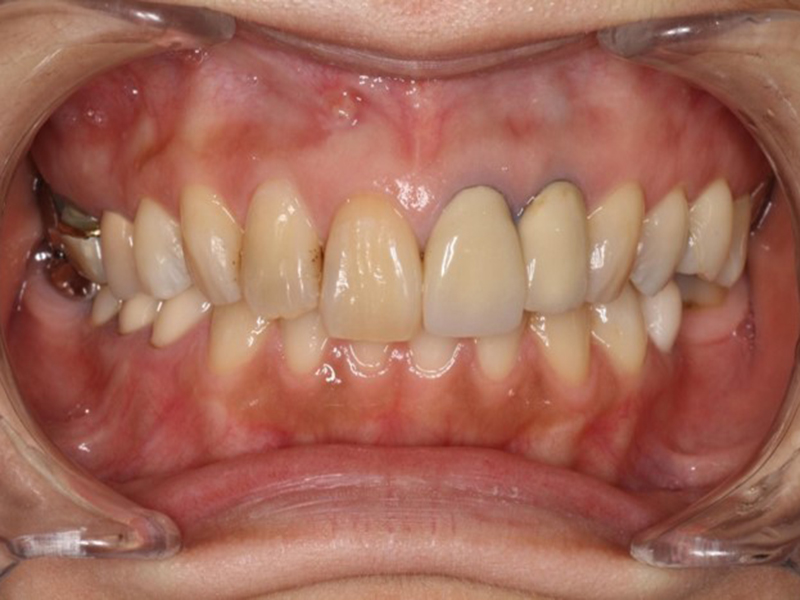
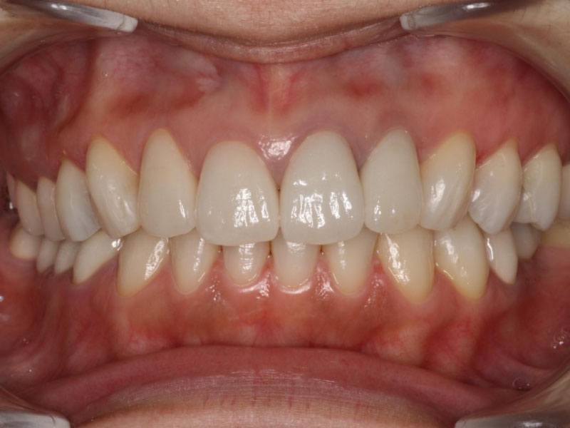
▼ ケース7 矯正終了→ホワイトニング→オールセラミックスによる修復

before

経過

経過

after
※ 画像をクリックすると拡大します。

Copyright © 丸山歯科医院 | Maruyama Dental Clinic. All Rights Reserved.