インプラントの症例

▼ ケース1

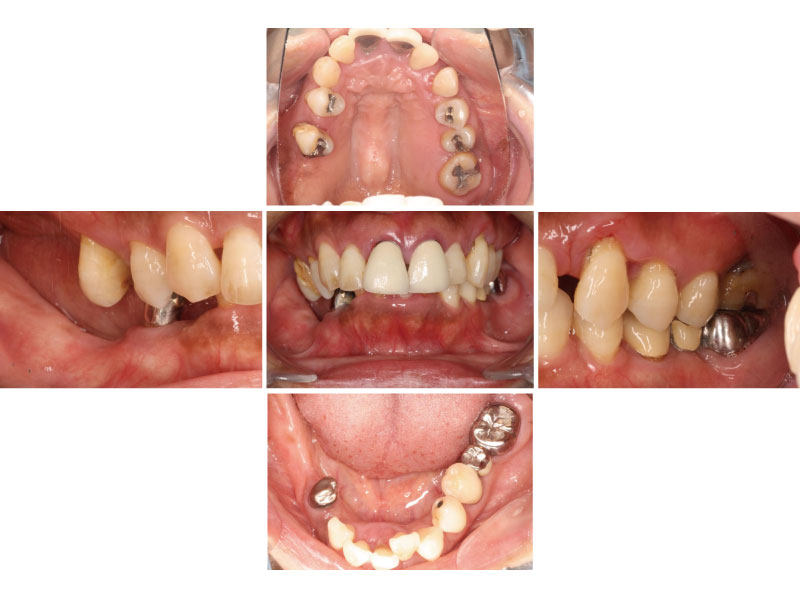
2011.6.17.初診時口腔内写真

2011.6.17.初診時口腔内写真

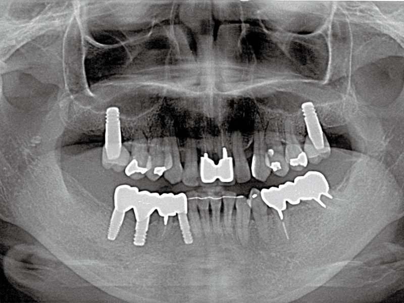
初診時X線写真

初診時X線写真

術前X線写真

術前X線写真

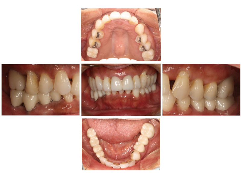
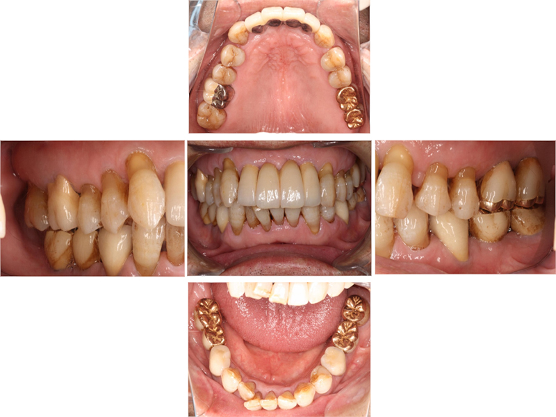
2014.6.20.治療終了時

2014.6.20.治療終了時

2014.6.20.治療終了時

2014.6.20.治療終了時

※ 画像をクリックすると拡大します。

▼ ケース2

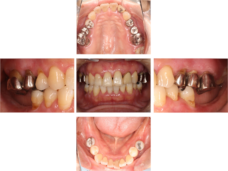
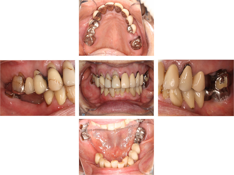
術前口腔内写真

術前口腔内写真

術前X線写真

術前X線写真

術前X線写真

術前X線写真

術後口腔内写真

術後口腔内写真

術後口腔内写真

術後X線写真

術前X線写真

術後X線写真

※ 画像をクリックすると拡大します。

▼ ケース3

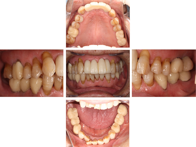
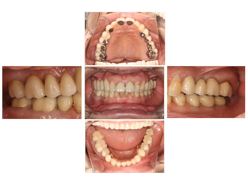
術前口腔内写真

術前口腔内写真

術前口腔内写真

術前口腔内写真

術前口腔内写真

術前口腔内写真

術前口腔内写真

術前口腔内写真

術前口腔内写真

術前口腔内写真

※ 画像をクリックすると拡大します。

▼ ケース4

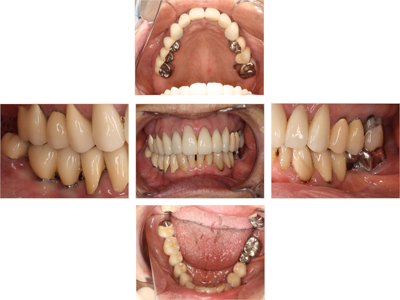
初診時口腔内写真

初診時口腔内写真

初診時口腔内写真

初診時口腔内写真

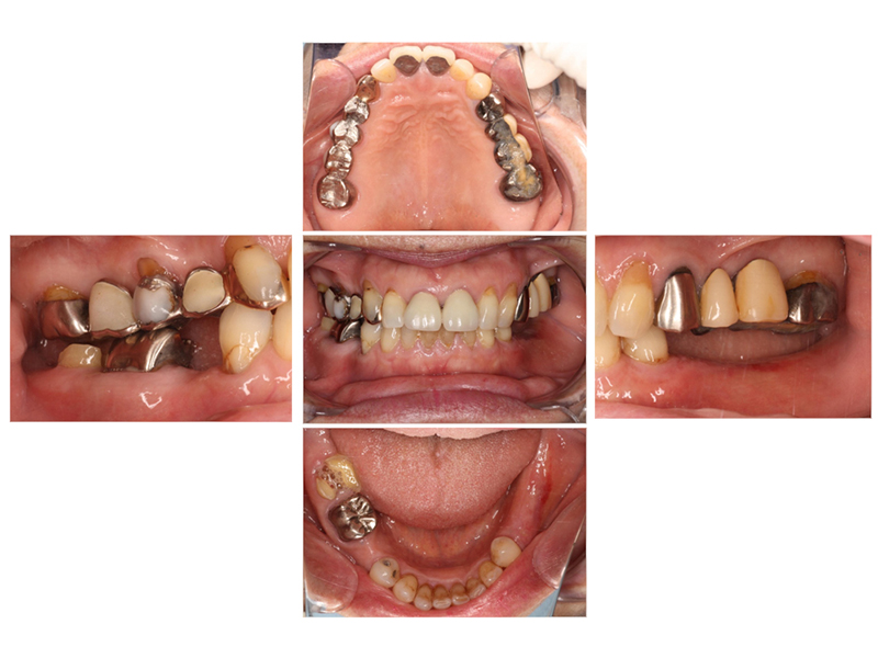
精密検査2

精密検査2

精密検査2

精密検査2

精密検査2

精密検査2

SPT一回目

SPT一回目

SPT一回目

SPT一回目

SPT一回目

SPT一回目

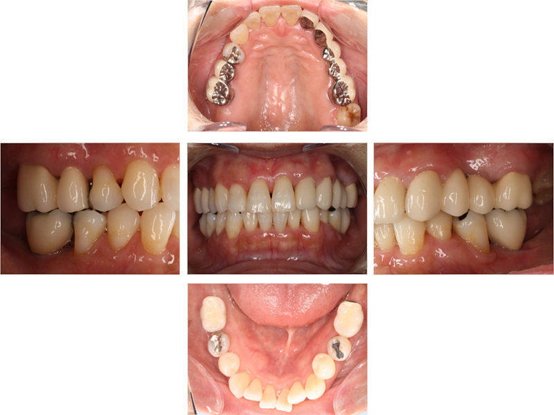
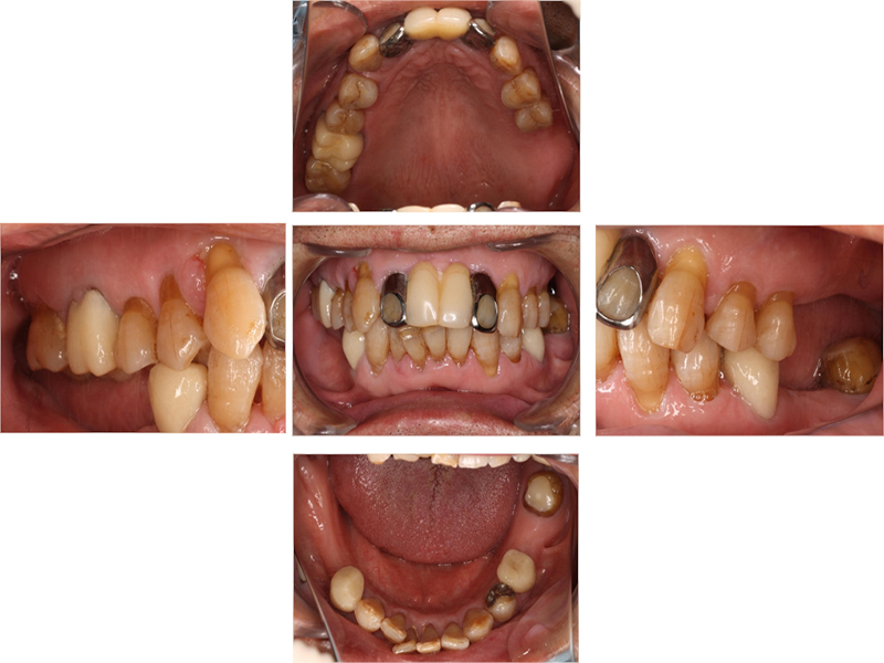
治療終了時口腔内写真SPT5回目

治療終了時口腔内写真SPT5回目

治療終了時口腔内写真SPT5回目

治療終了時口腔内写真SPT5回目

治療終了時SPT5回目

治療終了時SPT5回目

※ 画像をクリックすると拡大します。

▼ ケース5

術前口腔内写真

術前口腔内写真

術前X線写真

術前X線写真

術前X線写真

術前X線写真

術後口腔内写真

術後口腔内写真

術後X線写真

術後X線写真

術後X線写真

術後X線写真

※ 画像をクリックすると拡大します。

ACCESS - 交通アクセス

丸山歯科医院
〒399-8302
安曇野市穂高北穂高2987-1
TEL0263-82-7505
FAX0263-82-7360
診療日月~土 09:00~13:00 / 月火水金 14:30~18:30
休診日日・祝休診
Google Maps / ルート案内

PAGE TOP